Restorative Dentistry
Dental Fillings
Dental fillings are used to treat cavities or to repair cracked or broken teeth. The dentist removes the decayed portion of the tooth and then "fills" the area.
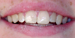
Broken Tooth Restored with Composite Filling Material


Crowns for Primary Teeth
Crowns for primary teeth are generally pre-fabricated, off-the-shelf restorations which come in a variety of sizes, and can be trimmed/adjusted to fit individual teeth. They are available in stainless steel and tooth-colored plastic.
Four Front Teeth Restored with Tooth-Colored Crowns


Posterior Teeth Restored with Stainless Steel Crowns


Root Canal for Primary Teeth
A baby root canal is necessary when the cavity has reached the nerve or center part of the tooth. A baby root canal can be performed and save a tooth that would otherwise have to be removed. Generally this treatment is fairly simple and usually the tooth does not have any discomfort after the procedure is completed.
This treatment is recommended if the child has a deep cavity, and he or she will keep the tooth for several more months to years and the tooth is not too severely broken down. One good reason for choosing the root canal option is that one function of the primary teeth is to hold the place for the permanent teeth. This space-holding becomes even more critical with the posterior primary teeth.
Baby Root Canal Performed in Anterior Teeth


Baby Root Canal Performed in a Posterior Tooth
Permanent molar is not erupted. Primary tooth with root canal is holding the space.

